Dental Imaging AI powered by Apteryx XVWeb
Smarter dental solutions for faster, more accurate care—enhancing diagnostics, improving workflows, and elevating patient outcomes.
Dental Imaging AI powered by Apteryx XVWeb

Advanced Dental Imaging AI Capabilities Have Arrived
Streamline Workflows
Save time by logging into one system to capture, view, enhance, and analyze x-rays with AI using Apteryx XVWeb.
Increase Production
With built-in AI capabilities, practices can experience an 18% increase in production while enhancing provider-patient relationships.
Improve Case Acceptance
Easily view and share AI-analyzed images to highlight problem areas, boosting case acceptance by up to 21%.
Discover the Power of Artificial Intelligence
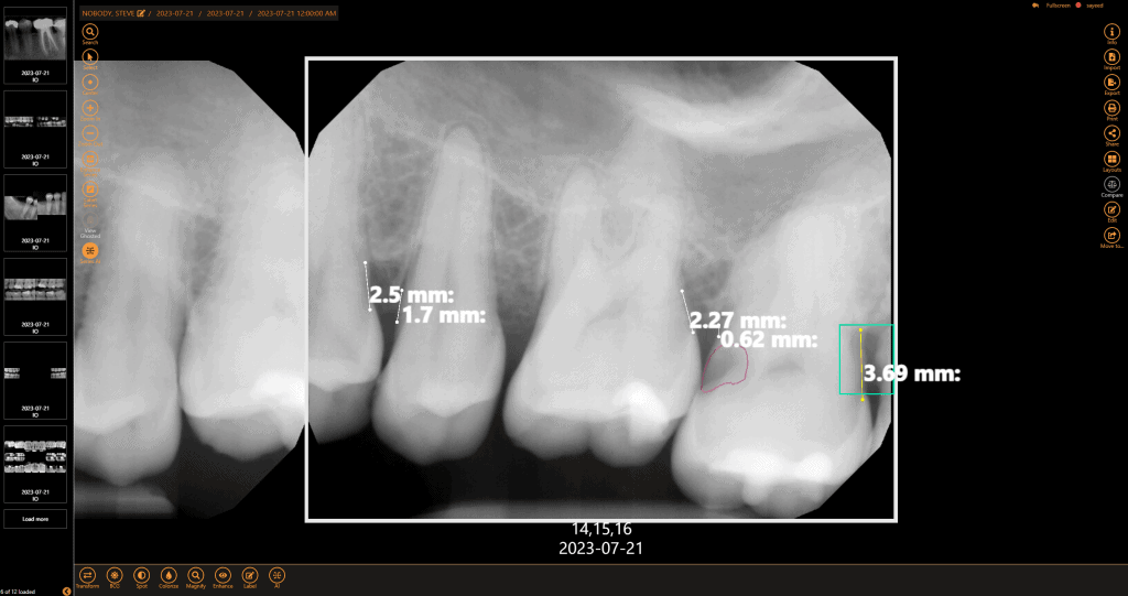
Get a second opinion to quickly detect decay, identify tartar buildup, and assess bone levels, ensuring a more accurate diagnosis of periodontal disease.


With AI seamlessly embedded into Apteryx and Denticon, capture, edit, and diagnose patient studies with real-time insights—all in one unified experience, without the need for additional software
Speed up diagnosis and treatment planning with fast initial screenings and real-time AI feedback, giving you confidence in chairside decisions.

The Benefits of AI in Dental Imaging
We are proud to partner with industry-leading AI technologies to bring artificial intelligence to dentists, oral surgeons, hygienists, and office staff. Through our partnership, discover a comprehensive chairside viewing experience, allowing you to see and share FDA-cleared pathologies within Apteryx XVWeb Cloud Imaging.
Real-Time X-ray Analysis
Within minutes, have more data than ever to guide and support your diagnosis with the patient chairside. AI makes it easier to visualize the areas of concern so patients can make a more informed decision.
Generate Clinical Alignment
Increase confidence of new associates and standardize the level of care for your entire practice with AI supported clinical decisions.
Increase Insurance Claim Approvals
Submit claims with greater confidence when the diagnosis is supported by quantified data.
Integration with Practice Management System
View the AI analysis from the Apteryx XVWeb Imaging viewer within Denticon. Save time by not toggling back and forth between systems.
Learning Center

Redefining DSO Partnership and Ownership with Elite Dental Partners CEO Dr. Victoria Yu
What does it really mean to build a DSO that puts clinicians first? In this episode of The Dental Economist Show, host CRO Mike Huffaker of Planet DDS sits down…

Dr. Cindy Roark on Clinical Innovation and AI in Modern Dentistry
From private practice on Nantucket to the C-suite of one of the nation’s most innovative dental support organizations (DSOs), Dr. Cindy Roark has built a career defined by curiosity, clinical…
Read More > about Dr. Cindy Roark on Clinical Innovation and AI in Modern Dentistry

Planet DDS 2026 Dental Outlook Shows More New Patients, Fewer No-Shows Across the Industry
Annual benchmark data points to healthier dental operations in 2026. IRVINE, Calif., March 11, 2026 — Planet DDS, a leading provider of cloud-based, enterprise-grade dental software solutions, today announced the…
Get started with Apteryx today
Grow Your Dental Practice By Attracting and Delighting Patients.

